![]() | Want to replace missing teeth? |
![]() |
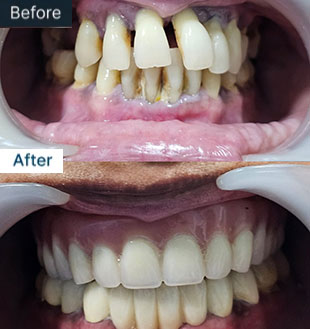
Fixed and Long Term |





![]() |
Dental implants are most modern treatments that restores a missing tooth in a fixed manner. |
![]() |
Implants are longterm fixed artificial tooth fixed dentures that mimic the original tooth structure. It is a treatment in which a titanium implant is attached to the bone and with its help a tooth or bridge is placed like a real tooth. It will last a lifetime if properly cared for. |
![]() |
How teeth are Permanently Restored with Dental Implants |
![]() |
Before doing anything our dentist will create a customised treatment plan based on your need, oral health and desired result. The individualized treatment plan could include extractions (if required), details regarding implants and others. |
![]() |
Sometimes there is a need to extract the tooth if the implant is desired to replace an existing tooth that is not possible to repair or beyond the level of repair. |
![]() |
Next a small titanium (root implant) is inserted to the jaw bone or the extracted socket and wait to heal it.options for immediate tooth fixing are available now. |
![]() |
An extender called abutment is placed to the root implant. It is used to connect the implant root with the implant crown.There are systems with single piece implants which can be loaded with teeth in 3 days. |
![]() |
If one or few teeth needs replacement then the crown is screwed or cemented to the implant directly. In the case of complete dentures, the denture is fixed or added to a metal frame and then this frame is screwed to the implant. |
![]() |
Don’t settle for a life without a confident smile. Let our team atChewbetter.in help you restore your smile and regain your self-esteem with dental implants – a treatment that can last a lifetime with proper care. |





![]() | Anyone who has lost one or more teeth and wants a longterm replacement. |
![]() | Individuals who want to improve their appearance and confidence by restoring their smile. |
![]() | People who have difficulty in speaking or chewing due to missing teeth. |
![]() | Patients who have experienced bone loss in the jaw due to missing teeth and want to prevent further deterioration. |
![]() | Those who are unhappy with their current dentures or bridges and want a more stable and comfortable alternative. |
![]() | Individuals who are hesitant to use removable dentures. |
![]() | People who have had a bad experience with removable dentures. |
![]() | People who want to replace their missing tooth without affecting adjacent teeth. |
![]() | Individuals who don’t want to spend time cleaning their dentures or prefer a low-maintenance option. |
![]() | Young adults or teenagers who have lost a tooth and want to replace it. |
Conventional method
Removable
Placed with a plate on the roof of the mouth
sometimes can spit out
Hard to chew with stability
Some food restrictions
May click while chewing
Aggregate bone loss
Facial collapse as a result of bone loss
High chance of damage to Gum or Adjacent tooth in the Long run
Advanced method
Long term placement
Placed without any plate
Securely anchored
Increases chewing power
No food restriction
No annoying while chewing
Prevent bone loss
Does not cause facial collapse
No damage to adjacent tooth
Conventional method
Support of adjacent tooth required
Needs to be replaced over a long period
Economical first but costly when needs to be replaced 
Advanced method
Titanium Implant is placed in bone itself and does not take support of nearby tooth / teeth
Persist lifelong if properly cared
In the long run cost is very less
![]() |
The customized approach we will take to restore your missing teeth with dental implants, ensuring you get the best possible results. |
![]() |
Crucial considerations to keep in mind when selecting dental implant treatments. |
![]() |
Common mistakes that patients make during dental implant procedure and how to avoid them. |
![]() |
Which dental implant option is the most suitable for you and how we determine the best fit for your unique needs. |
![]() |
Essential precautions to take before and after the dental implant procedure to ensure long-lasting, natural-looking results. |
![]() |
Complete details about the treatment plan, costs, duration, and everything else you need to know to make an informed decision about restoring your smile with dental implants. |



















